Путь бросающего курить
1. Зачем бросать курить?
2. Последствия отказа от курения
3. Способы отказа от курения
4. Готовы ли вы бросить курить
5. Что не дает бросить курить?
6. Получаем поддержку
Тесты
Что мешает вам бросить курить?
Готовы ли вы бросить курить?
Тип курительного поведения
Определение уровня зависимости
Индекс курильщика
Счетчики
Счетчик бросающего курить
Генератор календаря бросающего курить
Причины отказа от курения
Калькулятор курильщика
Цитаты мотивирующие к отказу от курения
Статьи
Все статьи
Здоровье курильщика
Женское курение
Лекарственные средства
Способы отказа от курения
Народные способы отказа от курения
Снюс (жевательный табак)
Статистика табакокурения
Курение в странах мира
Курение в городах мира
Электронная сигарета
FAQ
Закон о запрете курения
Вопросы/ответы
Что бывает после отказа от курения
Почему от курения…
ФОРУМ
Telegram-канал
Карта сайта
Контакты
Путь бросающего курить
1. Зачем бросать курить?
2. Последствия отказа от курения
3. Способы отказа от курения
4. Готовы ли вы бросить курить
5. Что не дает бросить курить?
6. Получаем поддержку
Тесты
Что мешает вам бросить курить?
Готовы ли вы бросить курить?
Тип курительного поведения
Определение уровня зависимости
Индекс курильщика
Счетчики
Счетчик бросающего курить
Генератор календаря бросающего курить
Причины отказа от курения
Мотивирующие цитаты от курения
Калькулятор курильщика
Статьи
Все статьи
Здоровье курильщика
Женское курение
Лекарственные средства
Способы отказа от курения
Народные способы отказа от курения
Снюс (жевательный табак)
Статистика табакокурения
Курение в странах мира
Курение в городах мира
Электронная сигарета
FAQ
Закон о запрете курения
Вопросы/ответы
Что бывает после отказа от курения
Почему от курения…
ФОРУМ
Telegram
Здоровье
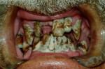
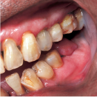
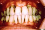
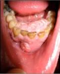
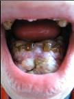
Результаты влияния табакокурения на организм
Путь:
Фотографии последствий курения
→
Здоровье
Страницы
: