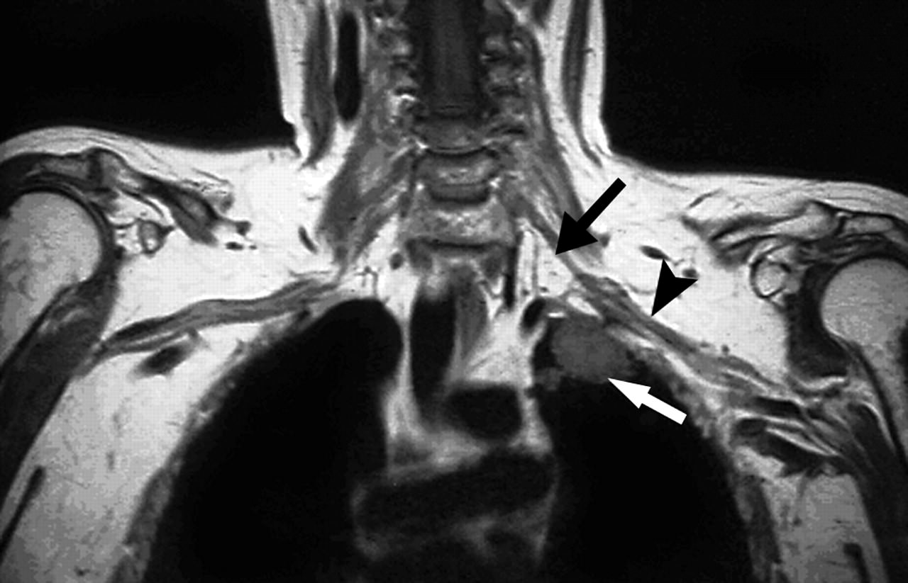
Опухоль Панкоста
ПЛАН ОТКАЗА ОТ КУРЕНИЯ
Получите свой личный план бросающего курить!
Опухоль Панкоста
Под таким названием в онкологии известна опухоль верхушки легкого. Имя американского врача Генри Панкоста получила не только сама опухоль, но и один из комплексов симптомов (синдром), развивающихся при ней.
Опухоль Панкоста
Настоящий ресурс может содержать материалы 18+.
Обращаем ваше внимание, что информация, представленная на сайте, носит ознакомительный и просветительский характер и не предназначена для самодиагностики и самолечения. Выбор и назначение лекарственных препаратов, методов лечения, а также контроль за их применением может осуществлять только лечащий врач. Обязательно проконсультируйтесь со специалистом.
© Все материалы, размещенные на этом сайте, охраняются законодательством РФ. При их копировании, активная ссылка вида "
Как бросить курить? " обязательна!
2007 Система управления сайтом Host CMS