Рак мозга — это большая группа онкологических заболеваний тканей головного мозга. Развиваются они в результате нарушения деления и образования клеток, от локализации которых зависит тип опухоли (например, опухоль мозгового вещества называется глиома, опухоль черепных нервов — невринома). Также различают первичные опухоли мозга — когда процесс начинается и развивается в самом головном мозге, и вторичный рак мозга — в этом случае опухолевые клетки через кровь заносятся в мозг из других, пораженных раком, органов.
Причины рака мозга
Установлено, что вредные факторы окружающей среды, а также курение и наследственность (когда в семье были случаи онкологических заболеваний головного мозга) являются в некоторой степени провоцирующими развитие этого заболевания. Однако окончательного ответа о причинах, патогенезе и этиологии рака мозга пока нет.
Симптомы рака мозга
Больше число «просмотренных» случаев рака мозга связано с трудностью диагностики. Прежде всего, выраженность симптомов зависит от очага опухоли (они так и называются — очаговые симптомы). Так, если опухоль затрагивает зону речи, то ведущим симптомом будут различные ее расстройства: дислалия, дисграфия. Если затронут вестибулярный аппарат, то первые жалобы — шаткость походки, шум в ушах, головокружение. Как видно, первые симптомы довольно расплывчаты, и их трудно связать с опухолевой природой.
Однако следует насторожиться, если к очаговым присоединяются общемозговые симптомы: рвота, не связанная с приемом пищи, тошнота, головокружение вне зависимости от положения тела. Довольно типична головная боль, не поддающаяся обезболивающим и сосудистым препаратам, усиливающаяся при изменении положения головы. Еще один настораживающий признак — горизонтальный нистагм: если посмотреть на глаза больного, то можно увидеть, как зрачок «бегает» из стороны в сторону, при этом голова больного неподвижна, а сам он «бега» не замечает.
Диагноз и лечение
Постановка диагноза в этом случае связана с серьезными трудностями. Дело в том, что без гистологического или цитологического подтверждения ставить онкологический диагноз нельзя. А чтобы забрать кусочек опухоли мозга на гистологию, нужна обширная, серьезная и весьма травматичная нейрохирургическая операция.
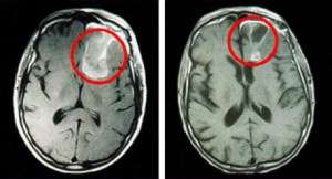
Поэтому на лечение направляются больные с неутонченным диагнозом. Он ставится на основании жалоб, оценки результатов функциональных исследований и проб, данных рентгенологического исследования, компьютерной томографии или МРТ. Окончательное подтверждение (или исключение) диагноза рака мозга проводится в онкологическом стационаре.
Лечение выбирается индивидуально, в зависимости от степени распространенности процесса, его очага, возраста больного, его общего состояния.
Иногда проводятся операции, позволяющие тотально вырезать опухоль. Но в большинстве случаев врачи останавливаются на так называемом паллиативном лечении — направленном на улучшение качества жизни больного, снижение выраженности симптомов. Для этого применяют химио-, радиотерапию, оперативное вмешательство или их сочетание.
Лечение рака мозга в Израиле
Вглядываясь в выведенный неразборчивым медицинским почерком в амбулаторной карте диагноз — «рак мозга» — впору впасть в полную апатию. Но это единственное, чего не стоит делать в данной ситуации. Обратитесь в израильские клиники — и вы поймете, почему.
Лечение рака мозга в Израиле осуществляется в соответствии с самыми последними веяниями в мировой онкологии. Здесь работают настоящие ассы нейрохирургии, в послужном списке которых сотни сложнейших операций. Попасть на прием к этим специалистам может любой желающий.
В Израиле используются новейшие диагностические (ПЭТ-КТ, стереотаксическая биопсия под контролем КТ) и терапевтические приемы и методы борьбы с раком мозга, новейшее оборудование, в том числе «Кибер-нож» и «Гамма-нож» для проведения радиохирургические вмешательства и фракционного облучения. Здесь помогли уже тысячам пациентов с раком мозга.
Прогноз
Умерено неблагоприятен. Без операции (которая бывает невозможна по разным причинам) в течение 5 лет после обнаружения рака мозга выживает не более 25 человек из ста. Если операция была сделала своевременно, прошла успешно и последующая химио- и радиотерапия оказались эффективными — выживают в течение этого срока до 80% человек.
