Пародонтоз нередко путают с пародонтитом. Однако это совершенно разные заболевания, связывает которые лишь место локализации — ткани пародонта — околозубного пространства. Пародонтоз — системное заболевание, встречающее довольно редко. И если причины развития пародонтита известны, то от чего развивается пародонтоз — точно пока не установлено
Причины
Подозревают, что причины пародонтоза — генетическая предрасположенность или скрытое до поры до времени системное поражение тканей пародонта. Под влиянием провоцирующих факторов, начинаются процессы разрушения альвеолярных отростков с параллельным уменьшением объема костной ткани зуба. Спровоцировать активизацию пародонтоза могут нарушения питания тканей пародонта в результате местных дистрофических процессов, нарушения кровообращения, в том числе местного, сахарный диабет, онкологические и аутоиммунные заболевания, прием цистостатиков и некоторых других лекарств.
Симптомы
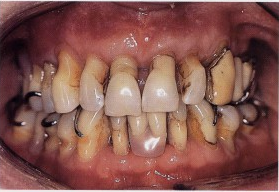
Симптомы пародонтоза немного схожи с картиной пародонтита, отсюда нередко и возникает путаница. Кости в области десен становятся пористыми, истончаются. Десна при пародонтозе кажется опустившейся, «сползшей» вниз, зубы оголяются до уровня шейки. Однако при пародонтозе нет десневых карманов, отсутствует воспаление, десны выглядят здоровыми, не кровоточат. Пародонтоз не сопровождается неприятным запахом, зубы при этом заболевании устойчивы, не склонны к выпадению. Иногда пациенты испытывают зуд в области верхнего края десны, а также жалуются на повышенную чувствительность к кислому, сладкому, горячему.
Диагноз и лечение
Осмотр стоматолога дает лишь поверхностную картину атрофии тканей пародонта. Рентгенологически картина становится более ясной: видны очаги разрушения не только тканей пародонта, но и дистрофические изменения в костных тканях, а также нарушения кровоснабжения. Компьютерная томография подтверждает склеротические процессы в соответствующих тканях, подтверждая диагноз пародонтоза.
Лечение должно быть комплексным, с учетом основного заболевания, вызвавшего развитие пародонтоза. Поскольку заболевание это системное, полностью излечить пародонтоз нельзя. Однако остановить дистрофические процессы вполне по силам. Для этого может потребоваться не только физиотерапия и применение лекарственных средств, но и хирургическое лечение, которое направлено на улучшение репаративных процессов в тканях пародонта.
Прогноз
Пародонтоз — заболевание системное. Даже в случае излечения первичного очага дистрофические процессы в пародонте остановить практически невозможно. Но качество жизни больных пародонтозом можно улучшить, если регулярно проводить противорецидивную терапию, тщательно соблюдая все рекомендации врача.
