Болезнь Менетрие — это патологическое состояние слизистой желудка с образованием в ней кистозных образований и аденом — доброкачественных разрастаний железистой ткани. Название заболевание дано по фамилии французского врача P. Menetner, описавшего его в конце 19 века.
Причины
Этиология и патогенез болезни Менетрие пока еще не установлены. Этиологическими факторами, то есть причинами, без которых это заболевание не развивается, считаются:
- хронические интоксикации — употребление алкоголя, курение, работа на свинцовом производстве;
- пищевая аллергия;
- нездоровое питание;
- хронические гиповитаминозы, особенно витаминов группы В, провитамина А;
- некоторые инфекции, в частности вирусные гепатиты, кишечные инфекции — дизентерия, сальмонеллезы, брюшной тиф;
- аномалии развития, наследственные факторы;
- обменные нарушения.
С точки зрения патогенеза, к возникновению болезни Менетрие приводят состояния и заболевания, связанные с нарушением целостности слизистой оболочки желудка (воспаления, аномалии развития, доброкачественные опухолевые процессы, повышенная проницаемость слизистой на фоне ее сенсибилизации). В поврежденной слизистой начинаются процессы разрастания (гиперплазии) железистой ткани и клеток, образующих слизь. Со временем эти процессы становятся диффузными, распространяются и в глубину и по площади поверхности.
Симптомы
Клиника болезни Менетрие не имеет типичных признаков, однозначно указывающих на эту болезнь. Однако некоторые типичные жалобы, особенно в совокупности, могут навести на мысль о развитии данной патологии. Ведущий симптом — боли в животе, причем в большинстве случаев в верхней его части и в подложечной области.
Боли ноющие, разной степени интенсивности и продолжительности. Они чаще всего возникают после еды, сопровождаются тяжестью в желудке, чувством его переполнения. Выраженность и постоянность болей приводит к снижению аппетита, вплоть до анорексии, больные худеют — минимум на 10 кг, развиваются отеки, связанные с белковой недостаточностью.
Почти половина больных болезнью Менетрие страдают рвотой — она чаще связана с приемом пищи и резкой болезненностью после него. После рвоты больные чувствуют облегчение, боль на время уменьшается или вовсе исчезает. У некоторых рвота может быть с примесью крови, хотя в целом для болезни Менетрие кровотечения не очень типичны — не более 15—20% случаев сопровождаются необильными и/или редкими кровотечениями.
Диагностика и дифдиагностика
Типичная ошибка — постановка диагноза злокачественной (реже доброкачественной) опухоли вместо болезни Менетрие. В клинической практике также приходится дифференцировать болезнь Менетрие от полипозов, аденомы поджелудочной железы (синдром Золлингера-Эллисона), туберкулеза ЖКТ, сифилитического поражения слизистой желудка, гипертрофического гастрита.
Для диагностики важен сбор анамнеза с указанием на возможные этиопатогенетические факторы, данные лабораторных анализов, рентгена и эндоскопии с биопсией. В анализах крови отмечается эритропения (снижение количества эритроцитов) и гипогемоглобинемия, иногда — нерезкий нейтрофильный лейкоцитоз. В сыворотке крови снижено содержание альбуминов, иногда повышен уровень сывороточного гастрина. В целом, лабораторные изменения при болезни Менетрие не имеют типичных признаков и играют, скорее, дополнительную роль.
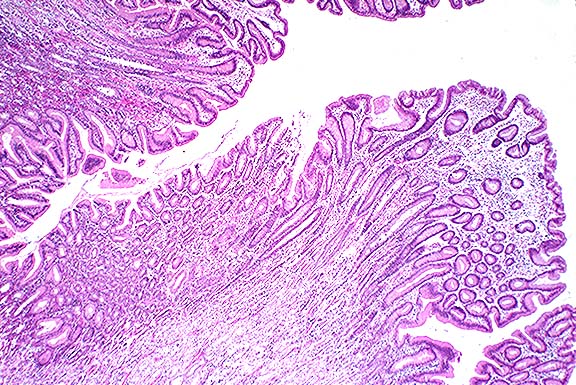
На рентгене с сульфатом бария отчетливо видны толстые, извитые, протяженные складки слизистой, между которыми расположены глубокие и широкие промежутки: именно из-за таких промежутков болезнь Менетрие принимают за злокачественный процесс с распадом тканей. При этом общая картина складчатости, перистальтики и эластичности стенок желудка остается в норме.
При эндоскопическом исследовании картина утолщенных складок видна отчетливо, можно оценить их окраску, наполненность кровью, наличие эрозий на вершинах складок и в межскладочном пространстве. Биопсия при этом заболевании имеет диагностическую ценность только в случае забора материала с большого участка визуально измененной слизистой с захватом железистого слоя, поэтому проводится по показаниям и, чаще всего, для дифференциальной диагностики.
Лечение болезни Менетрие
Лечение зависит от степени тяжести заболевания. При легком течении назначается стол №1 или 2 по Певзнеру с повышенным содержанием белка. Из лекарств в первую очередь назначают обволакивающие и вяжущие — «Алмагель» или «Алмагель А», «Фосфалюгель», «Маалокс», препараты висмута нитрата. При нарушениях пищеварения эффективны также ферментные препараты — «Мезим», «Креон», «Панкреатин».
Оправдано назначение атропина для снижения белковой недостаточности и для улучшения самочувствия больных, о чем свидетельствуют на тематическом форуме люди, страдающие болезнью Менетрие.
Течение с осложнениями и неэффективность консервативной терапии — показание к хирургическому лечению, заключающемуся в полном (гастрэктомия) или частичном (резекция) удалении желудка.
Прогноз
В целом, прогноз при болезни Менетрие относительно благоприятен — если не учитывать, что она существенно влияет на качество жизни. Чем легче течение болезни, чем ранее проведено обследование и назначена эффективная терапия — тем лучше прогноз. Возможны длительные ремиссии, переход болезни Менетрие в хронический атрофический гастрит.
Есть немногочисленные данные, указывающие на возможную связь болезни Менетрие с последующим развитие рака (аденокарциномы) желудка. Многие специалисты считают ее фоновым состоянием для перехода в злокачественную опухоль.
Пациенты с болезнью Менетрие должны состоять на диспансерном учете, и не менее двух раз в год проходить комплексные контрольные исследования, включающие анализ крови, рентгенологическое обследование и фиброгастродуоденоскопию.
Профилактика
Поскольку нет заболевания и состояний, считающихся этиологическими факторами болезни Менетрие, профилактические мероприятия не разработаны. Для снижения риска развития заболевания рекомендуется исключить факторы риска, в том числе курение.
