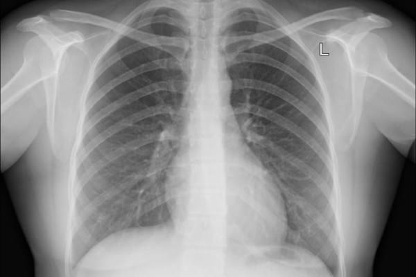
Флюорография – это знакомая всем безболезненная и быстрая диагностическая процедура, которая применяется для скрининговых исследований органов грудной клетки на предмет наличия туберкулеза, патологических изменений, новообразований в легких и бронхах и других опасных заболеваний. В группу риска входят любители курить обычные и электронные сигареты, те, кто увлекаются кальяном и вейпами. Это совсем не мешает им задавать вопрос, а можно ли курить перед флюорографией? Видимо, они не до конца осознают опасность зависимости, которая может приводить к необратимым последствиям в организме.
Коротко о флюорографии
Основной целью флюорографии, которую все должны обязательно проходить 1 раз в год, является профилактика и выявление различных патологий и заболеваний на стадии их зарождения.
Результаты обследования дают возможность оценить состояние органов и при наличии изменений провести более детальную диагностику и назначить лечение.
Влияет ли выкуренная перед флюорографией сигарета на результат?
С помощью флюорографии можно выявить не только типичный для людей с никотиновой зависимостью бронхит курильщика. При этом патологии органов дыхания могут развиваться и по другим причинам.

Возвращаясь к вопросу, можно ли курить перед флюорографией, надо сказать, что выкуренная сигарета за 30 минут или за час до проведения манипуляции, особо на результат не влияет. То есть при наличии патологии она в любом случае будет отражаться на снимке. А учитывая быстроту проведения исследования на флюорографическом аппарате, попавший в организм пациента табачный дым, не осложняет его поведение и не препятствует получению достоверных данных.
Как избавиться от никотиновой зависимости
В этом случае об отказе от курения надо не говорить не в масштабах одной процедуры, а в целом, как о борьбе с никотиновой зависимостью, которая приводит к развитию патологий и усугублению состояния при наличии хронических заболеваний.
Заядлым курильщикам тяжело самостоятельно справляться с проблемой, но сегодня есть эффективные методики, которые позволяют избавиться от зависимости навсегда.
Выводы
Вы получили ответ на вопрос: «можно ли курить перед флюорографией?». В принципе, да. Но после того как снимок покажет наличие серьезных патологий, может, действительно надо пересмотреть свое отношение к сигаретам?
