Понятно дело, что зубы из кабинета стоматолога нас мало интересуют. Ну, нет их больше, так что их жалеть? А вот что собой представляют самые дорогие и любимые сердцу частички нашего тела, оставшиеся во рту прилежно курящего хозяина, мы и попытаемся выяснить.
Зубы курильщика можно разделить на две категории:
- Те зубы, которые во рту.
- Те зубы, которые остались в кабинете стоматолога.
Ну, нам-то, мужикам, зачастую не то, что на своё здоровье плевать, нам порой и на жизнь свою начхать, наплевать и землицей сверху присыпать. Поэтому мы мало кто из нас чистит зубы по три раза на день, а некоторые, вообще, воспринимают зубную щётку как пыточный инструмент. А вот женщины, самые прекрасные и чудные создания на нашей планете, умудряются тратить часы на утренний и вечерний туалет. И, конечно, зубам они уделяют куда больше внимания, чем, порой, собственным мужьям…

Когда мы делаем столь желанную затяжку ароматного табачного дыма, немалая часть химической энциклопедии оседает на наших зубах, не успевая добраться до лёгких. Зубы, словно заправская городская стража, пытаются остановить нашествие ядовито-радиоактивных химикатов, но пасуют после первой же атаки. Шутка ли – три десятка легкобронированных пехотинцев против нескольких тысяч бойцов моторизованной пехоты Врага с химическим оружием на борту… Эммм… о чём это я… Ах да!
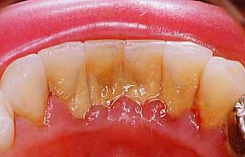
Попавший в рот табачный дым тут же облепляет эмаль зубов очень липучей, быстро твердеющей и крайне токсичной смолой. Поэтому у курящих мужиков зубы очень быстро становятся жёлтыми. Мы же их редко чистим! А вот у женщин даже спустя двадцать лет курения зубы остаются белыми. Если, конечно, сами зубы ещё остаются. Но эта белизна – как гроб на похоронах. Снаружи всё красиво и помпезно, а внутри — разлагающийся труп.
Так и здесь – впереди зубки белые, а с внутренней стороны – похожи на строительный щебень. А уж что под ними творится – ни пером не описать, ни матом не сформулировать. В зубах курильщика очень рано начинает развиваться так называемый сухой кариес. Мы-то, народ пуганый тем, что у России две беды – кариес и месячные, давно перестали воспринимать кариес как
Пломбу поставим и дело с концом. Но вот беда. Дырка-то эта не вентилируется, а, значит, вся гниль не просто остаётся внутри зуба, а пропитывает его и распространяется по всем соседним зубам. Сначала, вроде, ничего, а потом зубы вдруг начинают побаливать, качаться ни с того ни с сего, постреливать… и выпадать. А уж выпадают они до того весело, словно и неродные, а плохо имплантированные вставные.
Просыпаешься утром, а у тебя на подушке зуб. И воняет от него такой жуткой тухлятиной, что аж тошно становится. Это, кстати, намёк женщинам. Не заставляйте своих мужчин целовать эту смердящую клоаку, которую вы нежно и с любовью называете ртом. Ото рта там осталась лишь дырка в голове, в которую едят. А зубы уже давно поражены тяжёлой формой пародонтоза и готовы дезертировать из вашего рта при первой же возможности. А тяжёлая форма пародонтоза приводит к гниению костей черепа. А гниющие кости, в отличие от гниющих зубов, клещами не удалишь и вставные не поставишь.

А ещё у зубов взрослого человека есть один существенный недостаток. Если они выпали, то выпали навсегда. А курение делает зубы не просто жёлтыми. Оно их делает мёртвыми. А мёртвые ткани, как известно, истлевают и разрушаются.
Я не просто так сравнил зубы с солдатами. Человек со здоровыми зубами имеет куда меньше проблем со здоровьем, чем человек с зубами больными. Зубы – они, действительно, как стража у ворот, первыми встречают всё то, что попадает к нам в организм, начиная от материнского молока и заканчивая ядовитым табачным дымом. И сколько бы любители табака не пытались доказать себе, что в курении нет ничего плохо, зато хорошего – просто вагон, табак очень быстро уничтожает зубы курильщика. И нередко тогда, когда курильщик ещё жив.
