Наверняка многие из нас, особенно те, кто является поклонником Александра Абдулова, были потрясены неожиданным известием, что у знаменитого актера обнаружен рак легкого, причем уже в запущенной четвертой стадии. Удивительным для людей, далеких от медицины, оказалось и то, что болезнь обнаружена не сразу, а после очень тщательного обследования, и окончательный диагноз был поставлен лишь в специализированной израильской клинике.
Игорь Никитович, почему рак легкого часто выявляется в последней, 4-й стадии?
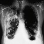
К сожалению, в большинстве случаев это заболевание протекает совершенно бессимптомно. Кашель, боли в грудине, мокрота появляются лишь тогда, когда случай уже запущен, то есть в 3-й, 4-й стадии. А в первой стадии этот вид рака выявить, как правило, очень трудно. Это возможно только при периферической опухоли.
Когда есть шанс на исцеление?
При выявлении заболевания в первой стадии вероятность излечения составляет 80%, во второй — 40%, в третьей — 20%, в четвертой стадии — 0%.
Скажите, а к вам в клинику поступают больные в основном в какой стадии?
В основном, к большому сожалению, – в третьей-четвертой.
Ежегодное прохождение флюорографии может помочь раннему выявлению рака легкого?
Да. Я считаю это достижением советского здравоохранения. В связи с этим и выявляемость рака легкого в бывшем Советском Союзе была одной из самых высоких в мире. Периферическую опухоль легкого при флюорографии можно обнаружить даже на первой стадии (опухоль до 1 см)! И в основном те больные, которые поступают к нам в клинику на ранних стадиях, узнали о своем диагнозе именно после планового прохождения флюорографии. Хотя рак, располагающийся в центре легкого либо в бронхах, к сожалению, выявить с ее помощью гораздо сложнее.
Почему онкологи при раке легкого часто отказываются делать больному операцию?
Это происходит, когда больной поступает в клинику в последней, четвертой стадии заболевания. В этом случае оперативное лечение уже неэффективно.
В Минске в среднем ежегодно заболевает раком легкого около 500 человек. Основную массу больных составляют мужчины после 50-ти лет. Радикальное лечение, то есть операция, проводится в среднем 120 больным, или 25% пациентов. Если сравнить с мировыми показателями, то в мире оперируют в среднем 15% пациентов. А в СCCР в связи с ежегодным прохождением флюорографии и отсюда более ранним выявлением заболевания, радикальному лечению подвергались 20% заболевших. И именно операция значительно повышает шансы на выживание.
Можем ли мы как-то предупредить возникновение этой страшной болезни?
А вот это как раз в наших силах. Ведь рак легкого — единственное заболевание, где убедительно доказано, что основным фактором, приводящим к нему, является курение. Вредные последствия курения уже доказаны, и все же многие либо не знают о них, либо не хотят бросить курить, либо уже не могут. А, по мнению наркологов, зависимость от табака может быть такой же сильной, как и от героина. Хотя у многих до сих пор бытует представление об этой вредной привычке как о сравнительно безобидной шалости и личном деле каждого курильщика.
По статистике, от рака легкого в мире умирает больше людей, чем от какого-либо другого вида рака, и во многих странах более 90% этих смертей обусловлены именно курением. Риск рака легкого тем выше, чем больше сигарет выкуривают за день, чем дольше курят, чем больше количество вдыхаемого дыма, а также чем выше содержание смол и никотина в сигаретах.
