Характерный налет курильщика(речь идет про налет на зубах) – еще одно негативное последствие от курения. Это еще один фактор, сигнализирующий о необходимости пересмотреть свои привычки и подумать о том, чтобы навсегда покончить с пагубной привычкой и начать заботиться о своем здоровье, ведь зубы не волосы - не отрастут. Так что же такое налет курильщика и как с ним бороться?
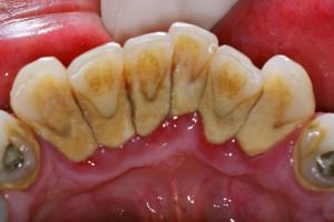
Даже невооруженным глазом зубы курильщика узнать достаточно легко, по специфическому налету на их поверхности и цвету зубной эмали. Но при ближайшем рассмотрении, если буквально заглянуть курильщику в рот, то можно увидеть так же следующие характерные проблемы:
- наличие темно-коричневого пигментированного налета в области шейки зуба;
- недостаточная увлажненность десны;
- болезненный бледно-розовый цвет слизистых оболочек;
- неприятный запах изо рта;
- и возможно даже воспаление тканей пародонта.
Ошибочно полагать, что налет курильщика - это исключительно косметологическая проблема. Некрасивый цвет ваших зубов – это только начало всех стоматологических проблем.
Отсутствие системы профилактики, а также специального профессионального ухода за «проблемными» зубами может с большой вероятностью стать причиной серьезных заболеваний полости рта.
Как образуется налет
Одной из основных причин активного изменения цвета зубной эмали и образования налета курильщика специалисты считают высокое содержание химических веществ в сигаретах, таких как деготь, никотин, феноловые и аммиачные соединения.
При образовании и поглощении табачного дыма вредные соединения оседают на зубной поверхности, при этом образуя достаточно прочное соединение, имеющее некрасивый желтый или коричневатый оттенок.
В первую очередь поражается область шейки зуба (переход зубной коронки в корень). Это место мало задействовано в процессе жевания и кроме этого плохо очищается с помощью зубной щетки.
Стоит отметить, что ухудшение состояния зубов при курении наступает в любом случае. Однако период проявления внешнего косметического дефекта зависит от способов ухода за полостью рта и усилий курильщика, приложенных к соблюдению правил гигиены.
Как избавиться
Вы курите и состояние, а так же цвет зубов оставляют желать лучшего? Если на данный момент вам все еще недостаточно силы воли для того, чтобы начать здоровый способ жизни без вредной привычки, то выбрать наиболее эффективный способ борьбы с налетом курильщика можно уже сейчас.
Это может быть:
самостоятельное отбеливание зубов в домашних условиях с использованием народных методов;
борьба с налетом с помощью покупных средств по уходу за полостью рта
профессиональная стоматологическая помощь.
Народные рецепты
Если вы решили избавиться от зубного камня и налета с помощью народных средств, то можно воспользоваться одним из следующих рецептов:
Медовое полоскание.
Растворить 1 ст. ложку пчелиного меда в 1 ст. кипяченой воды. Проводить полоскания полученным теплым раствором рекомендуется каждый вечер перед сном в течение нескольких месяцев.
Массаж поваренной солью.
Время процедуры – 3 минуты, продолжительность курса – несколько месяцев. Количество чисток необходимо постепенно сокращать начиная с третьей недели. Профилактически достаточно проводить такой массаж 1 раз в неделю.
Ореховое полоскание.
Горсть свежих веточек и коры грецкого ореха залить 1 ст. холодной воды, прокипятить в течение четверти часа. Использовать 2-3 раза в день, полоскать рот каждый раз в течение 5 минут.
Средство для чистки.
В баночку с зубным порошком “Отбеливающий” добавить немного соды и 1 чайную ложку морской мелкой соли, а так же 2-3 толченые таблетки активированного угля. Применять вместо обычной пасты.
Подобрать наиболее оптимальный способ очистки зубов от некрасивого темного налета, можно только попробовав эти и другие народные способы. Основа успеха такого лечения – терпение и регулярное, а самое главное длительное использование.
Покупные средства для домашнего использования
Стремительный темп жизни и постоянная нехватка времени часто приводят к невозможности использования методик, требующих длительного применения. Эффекта хочется достичь очень быстро.
Для удовлетворения таких потребностей индустрия косметологии предлагает целые серии специальных средств. Судя по рекламе, за короткое время в домашних условиях эффективную помощь окажут специальные пасты для курильщиков, такие как R.O.C.S Кофе и табак, LION Zact Smokers (Япония), SMOKA Pink, Sept (Япония), Plus White The Smokers Whitening (США), а так же гели и системы домашнего отбеливания.
Результата от использования таких средств добиться можно, однако под большим вопросом остается длительность и устойчивость такого эффекта, а также его безопасность. Касательно эффективности и безопасности хорошо себя зарекомендовала паста японского производителя Zact Smokers (LION)
Но будьте бдительны, если вы все же решили довериться способу удаления налета курильщика с помощью средства, приобретенного в супермаркете, обратите внимание на оригинальность продукции, срок годности, а также состав.
Профессиональное отбеливание в клинике
Наиболее эффективным и безопасным способом удаления налета курильщика является профессиональная чистка, которая проводится в условиях стоматологических клиник.
Подтверждение того, что вам действительно предписана помощь профессионала, вы можете получить после внешнего осмотра и собеседования у стоматолога-терапевта.
В клинике налет курильщика можно удалить следующими способами:
Механический - снятие зубных отложений с помощью ручного или аппаратного метода. Ручную чистку профессионалы проводят кюретами и скейлерами. Аппаратное снятие налета осуществляется воздушно-абразивным, звуковым или ультразвуковым аппаратом.
Химический - размягчение налета и зубного камня слабыми растворами кислот. Такой способ, чаще всего, дополняет механическую профессиональную чистку. Процедура выполняется по следующему алгоритму:
- на зубную эмаль наносится специальное химическое средство;
- после смывания препарата налет удаляется механическим методом;
- поверхность шлифуется, полируется специальными профессиональными пастами;
- поверхность зуба покрывается фторсодержащими препаратами (лаком или гелем).
Комбинированный – объединение механического и химического способа.
Профилактика
Основным способом профилактики появления налета курильщика является ежедневный гигиенический уход за зубным рядом и полостью рта. С этой целью стоматологи так же рекомендуют курильщику специальные зубные ополаскиватели, гели и пасты, которые подходят именно его зубам.
Конечно профессиональная помощь всегда более эффективна и надежна, но правильный уход за зубами обеспечит курильщику минимизацию развития стоматологических проблем и избавит от существенных растрат, необходимых для лечения уже запущенных состояний.
Если у вас есть свой рецепт как избавиться от налета курильщика и характерного запаха изо рта, или вы остались довольным/не довольным каким-либо из покупных средств, оставляйте свои отзывы и комментарии, они помогут остальным определиться с выбором.

Путает понятия отождествляет проф. гигиену и отбеливание.