Статистика злокачественных опухолей, особенно рака легких, тревожна: заболеваемость растет, средняя выживаемость после лечения остается весьма посредственной. Множество факторов влияют на развитие атипии клеток (то есть их перерождение с утратой естественных функций) и бесконтрольный рост измененных тканей.
Увы, на многие факторы повлиять человек пока не в состоянии. Тем более значимой становится профилактика, которая поможет уменьшить канцерогенную нагрузку на организм и снизит риск развития ракового заболевания.
Факторы, провоцирующие развитие рака легких
Что же в настоящее время считается факторами высокого риска развития рака (канцерогенами)?
Прежде всего, это генетика и биологические предпосылки: наследственная атипия клеток, различные патологии внутриутробного периода, нарушения гормональной сферы, вирусные заболевания.
Огромное значение имеют физические факторы, такие как радиоактивное, ультрафиолетовое и рентгеновское излучение, и загрязненная физическими и химическими факторами окружающая среда. В аспекте же курения на передний план выходят химические канцерогены, в огромных количествах выделяющиеся при сгорании сигареты и собственно табака.
Курение ведет к раку легких
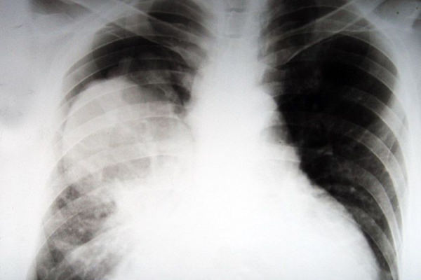
Статистические данные исследований говорят о том, что именно курение становится причиной развития рака бронхолегочной системы. И связано это в большей степени с канцерогенами сигарет: попадая в организм постоянно и в больших количествах, накапливаясь там, химические соединения дыма и продуктов сгорания приводят сначала к нарушениям работы слизистой бронхов, их эпителиального слоя и железистой ткани. Затем развиваются хронические нарушения процессов клеточного образования и кровоснабжения, а далее начинаются процессы деформации клеток, замещения нормального цилиндрического эпителия плоским многослойным, патологических изменений железистой ткани. Это приводит к образованию плоскоклеточного рака (слизистая рта и гортани) и аденокарциномы (рак легких).
В 90% случаев установленного рака легких выясняется, что пациенты онкологической пульмонологии — курильщики. Это явно указывает на курение, как на одну из самых значительных причин возникновения ракового заболевания. А уж в условиях современной экологической обстановки курение становится настоящей атомной бомбой, запускающей процессы развития рака. Выхлопы автомобилей и выбросы промышленных предприятий, электромагнитное и радиационное излучение, пыль, бактерии и вирусы, различные заболевания бронхолегочной системы (например, заболеваемость астмой и ХОБЛ растет год от года) — на этом фоне курение становится терминальным фактором-провокатором рака.
Известно также, что у пассивных курильщиков, вынужденно вдыхающих табачный дым, частота возникновения рака выше в 1,5-2 раза, чем у людей, не бывших пассивными курильщиками. Этот факт прямо подтверждают исследования, проводившиеся среди не курящих больных с раком легких: в среднем 15% людей с бронхолегочным раком не курили, но в их семьях есть курильщик и они вынуждены вдыхать дым.
По данным медицинской статистики, в городах раком легкого заболевают примерно 12,7% мужского населения, там бронхогенный рак выходит на 3-4 место по частоте заболеваемости. В крупных же городах с развитой промышленностью частота выявления рака составляет 18% — это уже первое место в общей структуре онкопатологий. Оценивая данные статистики, нужно также помнить, что примерно 30% случаев рака легких и смерти от него остаются не выявленными, человек считает, что болен тяжелой астмой, туберкулезом, их же указывают в причинах смерти.
Печальные тенденции
Каждый год к числу уже страдающих раком легких прибавляется 1 миллион человек с впервые диагностированным этим заболеванием, из них без лечения 90% умрут в течение двух ближайших лет и всего лишь 40% останутся в живых через 5 лет, несмотря на проводимое лечение. Подсчитано, что из ста курильщиков у 18 мужчин и 12 женщин обязательно разовьется рак легкого. И у 90% умерших от него причина развития данной патологии — курение.
Почему же статистика рака легких столь печальна и цифры заболеваемости неумолимо растут? Проведенные исследования показали, что связано это с качественными и количественными характеристиками табачных изделий.
Прежде всего, на вероятность развития рака легких у курильщика влияет стаж и число выкуриваемых за сутки сигарет. Чем продолжительнее курение и чем активнее потребляются сигареты, тем большее количество клеток повреждается и повышается риск их малигнизации — то есть перерождения в раковые. При этом продолжающееся курение повреждает эпителий бронхов, снижая его защитные функции, что также способствует активизации ракового процесса.
Опасность внутри!
В низкокачественных сигаретах (что весьма актуально в условиях сегодняшней финансово-экономической ситуации) содержится больше примесей, используются дешевые компоненты, которые если и соответствуют стандартам, то приближены к верхней планке допустимых требований.
Нитрозамины и радиоактивные элементы радон и полоний, бензпирен и альдегиды, бензол, ПАУ — эти вещества являются прямыми канцерогенами и их содержание в сигаретах высоко. Например, максимально допустимый предел поступления ПАУ (полициклических ароматических углеводородов) — 0,36 мкг в день. В одной сигарете же содержится 0,25 мкг ПАУ — то есть всего полторы сигареты в день дают максимально допустимую суточную норму этих страшных веществ!
Помимо продуктов сгорания табака, опасность несут и добавки, неизбежные при производстве сигарет. Это сахар и ментол — для придания вкуса и аромата дыма; красители — при использовании светлых трубочных сортов табака или для окраски фильтра и гильзы. Опасна селитра, которая добавляется в сигареты для лучшего горения, и которая очень токсична для человеческого организма.
Не только легкие
Рак, связанный с курением, поражает не только легкие. Еще одна типичная локализация — рак полости рта. Это может быть рак языка, щек, дна рта, нёба, альвеолярных отростков. Примерно 80% случаев онкологии полости рта приходятся на курильщиков. Установлено, что курильщики, а также любители насвая, бетеля, болеют этими видами рака в 6 раз чаще некурящих.
Органы пищеварения, особенно в верхних отделах, тесно связаны со структурными единицами дыхательной системы. Это и стало причиной того, что у курильщиков выше в среднем в 7 раз риск развития рака пищевода, гортани, поджелудочной железы.
Особую роль курение играет в развитии рака желудка и пищевода. Подавляя образование и снижая защитные функции слюны, курение приводит к нарушению процессов всасывания пищи, переработки ее в пищевой комок. Хронический гастрит курильщика повышает риск озлокачествления клеток, измененных под влиянием факторов внешней среды и курения, и развития карциномы желудка.
Табачный дым и никотин вызывают рефлекторное снижение тонуса сфинктера — особой запирательной мышцы, не пропускающей агрессивную сольную кислоту в пищевод. Это приводит к развитию ГЭРБ — гастроэзофагеальной рефлюксной болезни, которая является фоновым состоянием, многократно повышающим риск развития пищевода Барретта и аденокарциномы пищевода.
